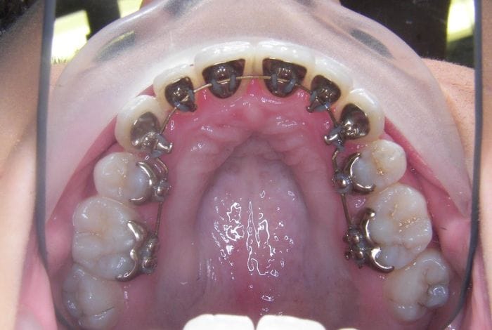
Kawat Gigi Lingual: Solusi Ortodontik Estetis untuk Senyum Impian

Memiliki senyum rapi dan sehat adalah dambaan banyak orang. Senyum tidak hanya memengaruhi penampilan estetis, tetapi juga berperan besar dalam meningkatkan kepercayaan diri dan kualitas hidup. Sayangnya, gigi yang tidak rapi dapat menimbulkan dampak psikologis maupun sosial, membuat seseorang enggan tersenyum atau berinteraksi. Untungnya, perkembangan ortodonti modern menghadirkan berbagai solusi untuk merapikan gigi. Salah satu […]